АКЦИИ МЕСЯЦА
280 000 ₽
49 900 ₽
Полное восстановление зубного ряда на 4 имплантах
Полное восстановление зуба
с имплантом и коронкой
с имплантом и коронкой
до 31 марта
Мы уже установили больше 23 000 имплантов
Восстановим жевание и улыбку, с гарантией приживаемости.
Операция проводится за 1 день!
Операция проводится за 1 день!
Выберите удобное время для записи
Имплантация и протезирование зубов
АКЦИИ МЕСЯЦА
280 000 ₽
49 900 ₽
Полное восстановление зубного ряда на 4 имплантах
Полное восстановление зуба с имплантом
и коронкой
и коронкой
до 31 марта
Восстановим жевание и улыбку,
с гарантией приживаемости.
Операция проводится за 1 день!
с гарантией приживаемости.
Операция проводится за 1 день!
Выберите удобное время для записи
Мы уже установили
больше 23 000 имплантов
больше 23 000 имплантов
Имплантация и
протезирование
зубов
Полное восстановление
зуба с имплантом и коронкой
Стоимость всего: 49 900 ₽
В стоимость
уже включено:
уже включено:
Установка
имплантов
имплантов
ST MEGAGEN (Ю. Корея)
Изготовление и фиксация коронки из диоксида циркония
Контрольные осмотры врача
Полное восстановление зуба с имплантом
и коронкой
Стоимость всего:
49 900 ₽
49 900 ₽
В стоимость
уже включено:
уже включено:
Установка
имплантов
имплантов
ST MEGAGEN (Ю. Корея)
Изготовление и фиксация коронки из диоксида циркония
Контрольные осмотры врача
Акция действует до 30 апреля!
Полное восстановление зубного ряда на 4 имплантах
В стоматологической клинике «Гранат» действует специальная программа восстановления зубного ряда по протоколу «Все на 4». Метод позволяет восстановить полный зубной ряд с опорой на четыре импланта и установить условно-съемный протез, возвращающий комфорт жевания и эстетику улыбки.
Экономия 70 000 ₽
Лучшее время
для первого шага!
для первого шага!
Оставьте заявку, наш менеджер перезвонит
вам и подробно расскажет о процедуре
вам и подробно расскажет о процедуре
Полное восстановление зубного ряда
на 4 имплантах — 280 000 ₽ вместо350 000 ₽
на 4 имплантах — 280 000 ₽ вместо
В программу входит:
— диагностика
— оценивают состояние костной ткани
— определяют возможность проведения имплантации
— планирование лечения и контрольные осмотры
— установка 4 имплантов (Южная Корея)
— изготовление и фиксация условно-съемного протеза на металлической балке
— составляют индивидуальный план лечения
Все этапы лечения проводятся командой специалистов с соблюдением современных протоколов имплантации.
— диагностика
— оценивают состояние костной ткани
— определяют возможность проведения имплантации
— планирование лечения и контрольные осмотры
— установка 4 имплантов (Южная Корея)
— изготовление и фиксация условно-съемного протеза на металлической балке
— составляют индивидуальный план лечения
Все этапы лечения проводятся командой специалистов с соблюдением современных протоколов имплантации.
Подробный план лечения, показания и этапы восстановления зубного ряда определяются на совместной консультации имплантолога и врача-ортопеда в клинике
на Михаила Кулагина, 31
на Михаила Кулагина, 31
До конца акционного предложения:
0
Дней :
0 0
Часов :
0 0
Минут :
0 0
Секунд Получите консультацию + КТ совершенно бесплатно по промокоду "Кулагина"
Акция действует до 30 апреля!
Полное восстановление зубного ряда
на 4 имплантах
280 000 ₽
вместо 350 000 ₽
Экономия 70 000 ₽
В программу входит:
— диагностика
— оценивают состояние костной ткани
— определяют возможность проведения имплантации
— планирование лечения и контрольные осмотры
— установка 4 имплантов (Южная Корея)
— изготовление и фиксация условно-съемного протеза на металлической балке
— составляют индивидуальный план лечения
Все этапы лечения проводятся командой специалистов с соблюдением современных протоколов имплантации.
— диагностика
— оценивают состояние костной ткани
— определяют возможность проведения имплантации
— планирование лечения и контрольные осмотры
— установка 4 имплантов (Южная Корея)
— изготовление и фиксация условно-съемного протеза на металлической балке
— составляют индивидуальный план лечения
Все этапы лечения проводятся командой специалистов с соблюдением современных протоколов имплантации.
Подробный план лечения, показания и этапы восстановления зубного ряда определяются на совместной консультации имплантолога и врача-ортопеда
в клинике
на Михаила Кулагина, 31
в клинике
на Михаила Кулагина, 31
До конца акционного предложения:
0
Дней :
0 0
Часов :
0 0
Минут :
0 0
Секунд Получите консультацию + КТ совершенно бесплатно по промокоду "Кулагина"
Красивая улыбка доступна всем
Искусственные зубы по цвету и форме не отличаются от родных
Реабилитация и заживление занимает 3-5 дней
Установка занимает от 30 минут
Подходит в любом возрасте
Несём
ответственность
за результат лечения.
за результат лечения.
Красивая улыбка доступна всем
Искусственные зубы по цвету и форме не отличаются от родных
Реабилитация и заживление
занимает 3-5 дней
занимает 3-5 дней
Установка занимает
от 30 минут
от 30 минут
Подходит в
любом возрасте
любом возрасте
Несём
ответственность
за результат лечения.
за результат лечения.
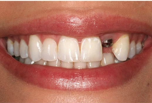
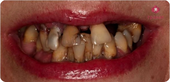
Кому и когда нужна имплантация
Внимание! Консультация бесплатна!
Нет одного зуба, из-за этого сложно жевать и стесняюсь улыбки.
Решение: одиночный имплант с коронкой.
Решение: одиночный имплант с коронкой.
Сломался мост/протез, не хочу портить соседние зубы.
Решение: замена на имплант.
Решение: замена на имплант.
Почти нет своих зубов, съёмный протез не держится.
Решение: “всё на 4” с несъёмной конструкцией.
Решение: “всё на 4” с несъёмной конструкцией.
Любой другой дефект в полости рта решаем нашими специалистами
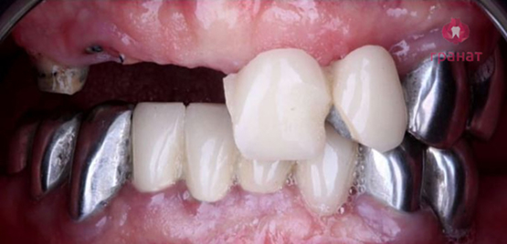
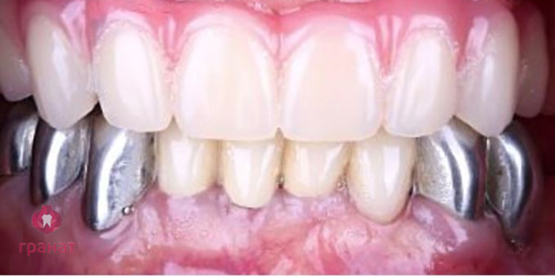
Нам доверяют
Безупречное качество и уверенность в результате –
опыт, проверенный сотнями успешных операций
опыт, проверенный сотнями успешных операций
после
до
после
до
после
до
после
до
Нам доверяют
Безупречное качество и уверенность в результате –
опыт, проверенный сотнями успешных операций
опыт, проверенный сотнями успешных операций
после
до
после
до
после
до
после
до
Отзывы
Почему безопасно и надёжно лечиться именно у нас ?
Без отеков после операции
Без риска осложнений
Без болезненных ощущений
В работе используем цифровой
протокол для установки имплантов
протокол для установки имплантов
Работа проводится через небольшие проколы
в десне, а не через разрезы
в десне, а не через разрезы
Установку импланта с точностью до миллиметра за счёт создания виртуальной модель вашей челюсти
Все риски сведены к минимуму:
Почему безопасно и надёжно лечиться именно у нас ?
Без отеков после операции
Без риска осложнений
Без болезненных ощущений
Работа проводится через небольшие проколы
в десне, а не через разрезы
в десне, а не через разрезы
В работе используем цифровой протокол для установки имплантов
Установку импланта с точностью до миллиметра за счёт создания виртуальной модель вашей челюсти
Все риски сведены к минимуму:
Команда имплантологов в филиале на Михаила Кулагина, 31
Вахабжанов Аббосхон Дилшадбекович
Врач-стоматолог хирург, имплантолог, челюстно-лицевой хирург
Зубова Наталья
Павловна
Павловна
Врач-стоматолог
ортопед
ортопед
Каждый может позволить себе качественное лечение
За счет цифровой
диагностики
и планирования лечения
диагностики
и планирования лечения
Специальные условия
на изготовление
протезов
на изготовление
протезов
Покупка имплантов
без посредников
и оптом
без посредников
и оптом
-5%
-7%
-10%
Стоимость имплантации на 22% ниже,
чем в других клиниках
чем в других клиниках
Каждый может позволить себе качественное лечение
За счет цифровой диагностики
и планирования лечения
и планирования лечения
Специальные условия
на изготовление протезов
на изготовление протезов
Покупка имплантов без
посредников и оптом
посредников и оптом
-5%
-7%
-10%
Стоимость имплантации на 22% ниже,
чем в других клиниках
чем в других клиниках
Рассрочка без посещения банка
Комфортные ежемесячные платежи без посещения банка
Индивидуальные условия можно обсудить с администратором клиники на приёме
Мы позаботимся о вас
После имплантации зубов наши пациенты получают бесплатный трансфер
на комфортном такси прямо до дома в пределах города
на комфортном такси прямо до дома в пределах города
*только для пациентов, получающие услугу «все на 4»
Удобный и безопасный трансфер после процедуры
Водитель доставит вас прямо до дома
Мы позаботимся
о вас
*только для пациентов, получающие услугу «все на 4»
После имплантации зубов наши пациенты получают бесплатный трансфер на комфортном такси прямо до дома в пределах города
Удобный и безопасный трансфер после процедуры
Водитель доставит вас прямо до дома
Входим в топ лучших стоматологий
Новосибирской области
Новосибирской области
Общий стаж врачей - более 100 лет
Входим в топ лучших стоматологий
Новосибирской области
Новосибирской области
Общий стаж врачей - более 100 лет
Удобно добираться!
Ваша клиника в ТРЦ СибМолл
Бесплатная парковка
Место всегда будет!
Телефон
+7 (383) 244-96-18
Адрес
г. Новосибирск, метро
"Берёзовая Роща",
М.Кулагина, 31
(ориентир на ТЦ СибМолл)
"Берёзовая Роща",
М.Кулагина, 31
(ориентир на ТЦ СибМолл)
График работы
08:00 – 21:00 ежедневно